
六月的杨梅是很多人的心头好。
吃杨梅要吞核?千万别“迷信”!

图 视觉中国
近日,杭州一位大伯吞吃杨梅核后,因腹痛而被送入医院,医生从其肚中取出近60颗杨梅核。

半筐杨梅下肚,大伯肠梗阻
医生从他肚子里取出近60颗杨梅核
“医生, 我以前也是这么吃的,这次肚子痛死了啊!”两天前,大伯苦着脸告诉浙江省人民医院消化内科副主任医师潘航海。
患者家人反映,老人以前吃杨梅都是不吐核的,可能一次吃得不多,一直没啥事,而此次大概吃了半筐杨梅,大伯就开始觉得肚子不舒服,继而出现上腹胀痛,吃东西后,症状更加明显,家人就赶紧将他送医院。
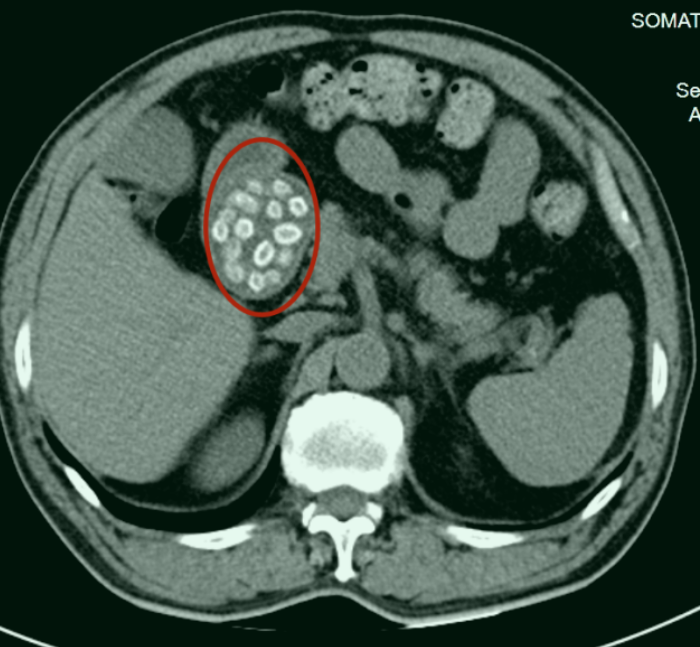
潘航海判断患者大概率是杨梅核导致梗阻。果然,CT检查发现,患者体内有杨梅核,密密麻麻,诊断为胃潴留、十二指肠梗阻。医生为大伯进行了紧急处理。

图 视觉中国
“胃镜检查发现患者胃腔内少量杨梅核,大量杨梅核与食物黏附,完全占据了十二指肠管腔,堵塞了十二指肠,胃镜无法通过……”潘航海描述当时的情景,十二指肠管腔较小,杨梅核形成的团块就像多层蛋糕一样叠在一起,后续治疗中,潘航海总共取了近60颗杨梅核,患者腹痛等症状明显缓解了,避免了外科手术。
吃杨梅吞核能杀菌排毒?
医生:缺乏科学依据
“每年杨梅季,我们科或其他科会接诊到因吞吃杨梅核而梗阻的病人。”该院消化内科主任潘文胜表示,民间流传着杨梅的“附加值”——吃杨梅时连着把杨梅核吞下,有杀菌排毒等诸多好处,但缺乏科学依据,因此市民群众千万别刻意大量吞食杨梅核来进行“排毒”了。

图 视觉中国
“一般来说,杨梅核较坚硬,很难被人体消化,如果是无意间吞咽下一两颗杨梅核,对于人体来说并无大碍,可通过排便自行排出。若是一次吞入过多,不仅容易噎住,还会在狭窄的肠道内产生淤堵,引起腹痛症状,甚至可能引发胃出血、肠穿孔或是肠梗阻等多类肠胃疾病;对于吞咽和气道保护能力较差的老人和幼儿,生吞杨梅核还可能误入气道,引发窒息风险,后果不堪设想。”
建议一天最多吃20颗
潘文胜主任提醒,根据我国居民膳食指南建议,水果每天摄入量最好控制在200g至350g,如果一天水果只吃杨梅的话,建议一天最多吃20颗,具体还要看杨梅的个头,像乒乓球大小的杨梅还得减量。
对于慢性胃炎、胃溃疡患者来说,杨梅最好在饭后吃,且一次性不宜吃太多,略吃几粒尝尝鲜就可以了。总之,杨梅虽美味,食用不宜过量,吃杨梅还是吐核为好。
转发提醒!吃杨梅别过量!
一天别超过20颗!
尽量别吞核!
记者 柯静 通讯员 宋黎胜